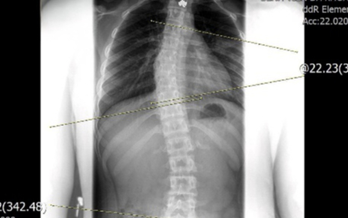
Chỉnh dáng cho trẻ vẹo cột sống bằng cách nào?
Đang tải nội dung...
Nội dung tổng hợp từ
Tuổi Trẻ
03:49 - 16/04/2026
Bài trước
Trưa nắng nóng: Ăn uống thế nào để cơ thể 'dễ chịu' hơn?
Bài tiếp
Chảy máu cam liên tục mới biết mắc bệnh tan máu bẩm sinh
Dữ liệu chỉ mang tính tham khảo · Cập nhật theo phiên
Nội dung tổng hợp từ
Tuổi Trẻ
03:49 - 16/04/2026
Bài trước
Trưa nắng nóng: Ăn uống thế nào để cơ thể 'dễ chịu' hơn?
Bài tiếp
Chảy máu cam liên tục mới biết mắc bệnh tan máu bẩm sinh